🏠Stay at home! 25% discount on all medicines
The worms that invade your brain
follow us on twitter:@GoAfricaNetwork
By Meera Senthilingam, for CNN
January 20, 2015
Once you consume them, they can move throughout your body — your eyes, your tissues and most commonly your brain. They leave doctors puzzled in their wake as they migrate and settle to feed on the body they’re invading; a classic parasite, but this one can get into your head.
“It had moved from one side of the brain to the other … very few things move in the brain,” says Dr. Effrossyni Gkrania-Klotsas about a British man found to have a tapeworm moving inside his brain in 2013. This form of tapeworm had never been seen before in the United Kingdom.
The patient, who was of Chinese descent, had recently visited China, which along with South Korea, Japan and Thailand, has more regular occurrences of the parasite known as Spirometra erinaceieuropaei. Four years earlier the man had first experienced symptoms, such as headaches, which the team of doctors at Addenbrookes Hospital, in Cambridge, had treated as tuberculosis. But then he returned.
“When he reappeared, he had new symptoms,” says Gkrania-Klotsas. The worm was now pushing on a new part of his brain, causing seizures and weakness in his legs. The condition associated with his infection was in fact Sparganosis. There is no known drug to effectively treat the infection meaning that upon diagnosis doctors had to be quick to remove the worm surgically.
Just 300 infections of the Spirometra tapeworm were recorded between 1953 and 2013, but they’re thought to be more common in parts of Asia. The rural nature of more affected populations means numbers are widely unknown and very little is known about the worms.
“These worms are pretty mysterious,” says geneticist Hayley Bennett from the Wellcome Trust Sanger Institute, in Cambridge, whose team recently sequenced the genome of the rare worm. “We know it has a very complicated life cycle.”
The adult form of the Spirometra tapeworm only occurs in the intestines of cats and dogs but as these animals shed the worms’ eggs in their feces the eggs can enter, and contaminate, water. The resulting juvenile form of tapeworm — known as larvae — can then stay in the water within certain small crustaceans or end up in frogs and snakes. As larvae they can invade humans through ingestion or direct contact with infected animals. The patient in Cambridge was thought to have accidentally drunk water whilst swimming in an infected lake, according to Gkrania-Klotsas. The worm then took hold.
“The larvae can encyst in the brain or somewhere else,” says Bennett. The consequences of these cysts can be tissue damage, blindness, paralysis or even death. By sequencing the worm’s genes, Bennett hoped to understand the inner workings of the worms to aid future diagnosis and treatment.
“Because it’s such a rare infection it’s not economically viable to create a drug just for this worm,” she explains. “But by comparing it to other tapeworms we can see which other drugs might apply.”
The team were given small samples of the worm, extracted from the infected patient, and their sequencing identified an exceptionally large genome and, importantly, genes which could help recognize resistance to drugs as well as act as future drug targets. “You could also develop a diagnostic test,” adds Bennett.
The worms that invade your brain

The most common form of brain tapeworm is the pork tapeworm — Taenia Solium. Taeniasis, the intestinal infection transmitted by the adult worm is a mild condition, caused by undercooked pork…
Pork tapeworms
There are many forms of tapeworm, three of which can readily infect the brain. From a public health perspective, there’s one in particular to watch out for. “It’s mainly the pork tapeworm that’s the main brain one,” says Helena Helmby from the London School of Hygiene and Tropical Medicine.
The pork species, known as Taenia Solium, can infect humans in two forms. The first is by eating undercooked pork from infected pigs, resulting in taeniasis — an adult worm residing in the intestine. The second, in the larval form, through contact with the feces of an infected pig or human, which can go on to infect many tissues. If the larval worm enters the nervous system, including the brain, it can result in a condition known as neurocysticercosis. Infection of this kind can often cause epilepsy once inside the brain. Almost a third of epilepsy cases in countries where the disease is native are people who have previously had neurocysticercosis, according to the World Health Organization.
Neurocysticercosis infection arises from poor sanitation and hygiene. “You can actually infect yourself,” says Helmby, as poor hygiene, such as failing to wash your hands, could result in you eating the eggs of an adult worm living in your intestine. “Self-infection is common.”
The global distribution of pork tapeworms is widespread with high numbers across Latin America, Africa and Asia, according to the World Health Organization. As a result of its higher prevalence and due to increased international travel, Gkrania-Klotsas has three patients in her care in Cambridge who have previously experienced neurocysticercosis.
The worms that invade your brain

… but infection with worms’ juvenile (larval) form has worse consequences as the younger worms can migrate to other parts of the body. If they enter the nervous system the worms can form cysts in the brain, which have severe consequences, including epilepsy. In the radiology image above, the cysts are identified as white lumps within the brain.
Cause for concern?
Infections with pork tapeworms are common but treatable with antihelminthic drugs targeting the worm. Until now, treatment for Spirometra has been surgical, but the recent genetic insight from Bennett’s team in Cambridge found that some drugs, such as praziqantil, which is used against schistosomiasis (snail fever), could have an effect. Certain drugs used against cancer were also identified as potential treatments.
Both Helmby and Gkrania-Klotsas are concerned about risks from increased international travel and the global food trade. “Food import and export is increasing and increasing risks of consuming infected goods,” says Helmby, who feels there is a need for more vigilance with food inspection. She predicts more cases will occur in places like the United Kingdom where such infections have been virtually eliminated.
“I’m confident there will be more of this in the future,” agrees Gkrania-Klotsas, who has seen patients infected without having traveled abroad. “People are getting infections without going anywhere.”
Those who do travel, however, also need greater awareness when visiting regions where infections are commonplace. But if health teams are ready for the consequences, this rise can be controlled.
“We need to be able to treat these infections,” says Helmby. “That’s the challenge at the moment.” A challenge where genetics researchers could prove invaluable, as their sequencing continues to reveal the secrets of these parasites.
The worms that invade your brain

Pigs are the primary source of contracting Taenia solium. Though pork when properly prepared and cooked is not problematic, the World Health Organization says poor sanitation and substandard slaughterhouses contribute towards transmission. The worms release their eggs in the pigs’ feces, which results in more severe infection.
The worms that invade your brain

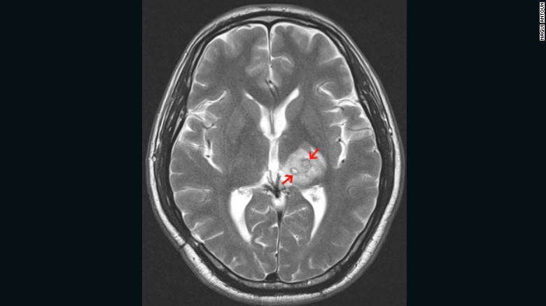
In 2013 a British man of Chinese ethnicity was diagnosed with a tapeworm, Spirometra erinaceieuropaei, inside his brain. The 50-year old was first experienced headaches four years earlier and was treated for tuberculosis. The arrows point to the mass created by the worm in his brain.
The worms that invade your brain

After four years, the British patient returned to hospital in pain to find his brain lesion had migrated to a new region of the brain resulting in new symptoms, including seizures. His MRI scans show the tapeworms’s burrowed migration through the brain over four years.
The worms that invade your brain

The worm, seen here in gray next to a five pence, measured only lcm in length yet managed to wreak considerable damage on its path through the brain.
The worms that invade your brain

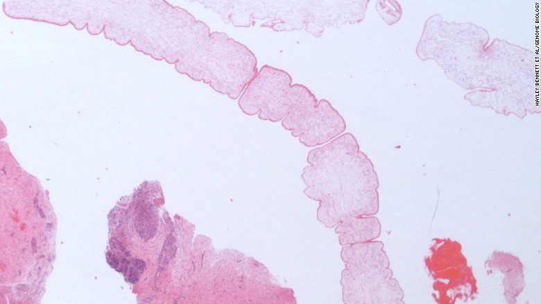
This was the first occurrence of Spirometra erinaceieuropaei in the UK but the infection is more common in China, South Korea, Japan and Thailand. This microscope shows the worm (center) on a slide after being removed from the patient.
The worms that invade your brain

The tapeworm has a complicated life cycle through which it infects both animals and humans. The juvenile form of the worm– known as larvae– are found in contaminated water as well as the flesh of frogs and snakes. Consumption of raw flesh from these animals or drinking contaminated water can lead to infection, from which larvae can migrate to many parts of the body, including the brain. In China, the practice of using frog meat as a form of poultice to calm sore eyes or treat wounds can also cause infection.
read more at CNN